لمینت دندان با ضمانت‌نامه کتبی رسمی با دکتر زهرا جوان

۲۲ سال سابقه کار درخشان

با لمینت‌های دکتر زهرا جوان، فقط ظاهر لبخندتان تغییر نمی‌کند؛
کیفیت و ماندگاری کارتان هم با ضمانت‌نامه کتبی تضمین می‌شود.

لمینت‌ها با مواد باکیفیت و تکنیک‌های پیشرفته طراحی می‌شوند تا:
 • طبیعی و زیبا باشند
 • طول عمر بالا داشته باشند
 • در صورت هر مشکلی، تحت پوشش ضمانت کتبی قرار بگیرند

نتیجه؟
لبخندی مطمئن، بدون ریسک، و مطابق انتظارتان

مدارک و گواهینامه‌های تخصصی دکتر زهرا جوان

چرا دکتر زهرا جوان؟

زیرا زیبایی لبخند، نیازمند دقت، مهارت و صداقت است. در مطب دکتر جوان، هر کیس لمینیت با بررسی دقیق فرم صورت، رنگ پوست و سلیقه شخصی شما طراحی می‌شود. هدف ما تنها ساخت یک لبخند زیبا نیست؛ بلکه ساخت لبخندی طبیعی، ماندگار و هماهنگ با چهره شماست. با بیش از صدها کیس موفق لمینیت و رضایت مراجعان، شما در این مسیر تنها نیستید

لمینت دندان

لمینت دندان یکی از روش‌های پرطرفدار در دندان‌پزشکی زیبایی است که برای بهبود ظاهر دندان‌ها و رفع مشکلاتی مانند تغییر رنگ، شکستگی‌های سطحی، نامرتبی‌های جزئی و فاصله بین دندان‌ها به‌کار می‌رود. این روش شامل استفاده از یک پوسته سرامیکی نازک به ضخامت یک لنز چشمی است که به‌دقت بر روی سطح دندان چسبانده می‌شود. این پوسته نازک پس از چسباندن، به‌طور قابل‌توجهی مقاوم می‌شود و شفافیت آن به مینای دندان شباهت دارد که نتیجه نهایی را طبیعی و زیبا می‌سازد.

لمینت‌ها از مواد باکیفیت همچون سرامیک یا کامپوزیت ساخته می‌شوند که به دندان‌ها ظاهری درخشان و سالم می‌دهند. علاوه بر بهبود زیبایی، این روش به حفظ سلامت دندان‌ها نیز کمک می‌کند؛ چرا که تنها سطح جلویی دندان تغییر می‌کند و هیچ تغییری در ساختار کلی دندان ایجاد نمی‌شود. یکی از مزایای این تکنیک، دوام و مقاومت بالای آن در برابر لکه‌ها و تغییر رنگ است.

ساعات کاری ما

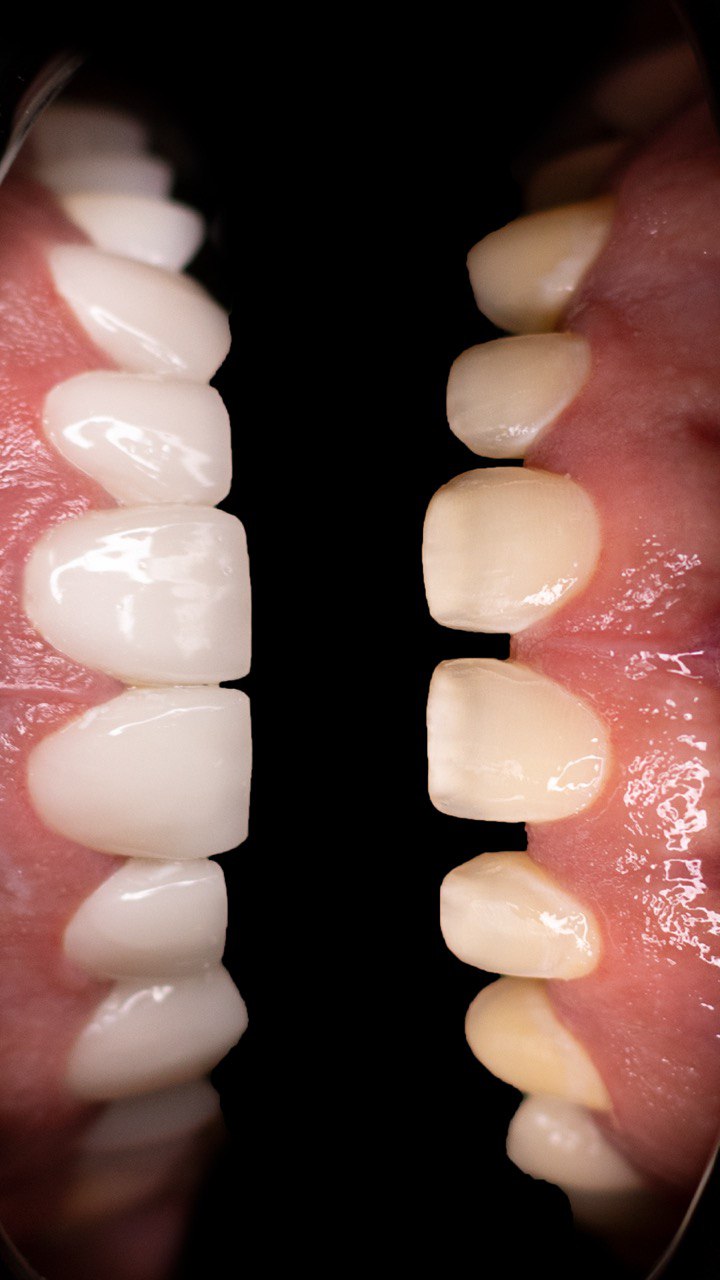
Portfolio

نمونه کار لمینیت حرفه ای

اگر از خراب شدن لمینت می‌ترسید، این متن برای شماست

لمینت زیباست… اما فقط وقتی ارزش دارد که خراب نشود، لب‌پَر نشود و رنگ نگیرد.
ترس شما طبیعی است؛ خیلی‌ها بعد از شنیدن تجربه‌های بد، نگران می‌شوند.

اما در کلینیک دکتر زهرا جوان، این نگرانی از روز اول برطرف می‌شود؛
چرا؟
چون تمام لمینت‌ها با ضمانت‌نامه کتبی رسمی تحویل شما می‌شود.

این یعنی اگر هر مشکلی پیش بیاید—از لب‌پر شدن تا تغییر رنگ—
شما تنها نیستید؛ ما کاملاً موظفیم رایگان پیگیری و اصلاح کنیم.

لمینت فقط زیبایی نیست؛
آرامشِ بعد از نصب هم مهم است.
و این همان چیزی است که ضمانت‌نامه کتبی برای شما فراهم می‌کند

FAQ

سوالات متداول لمینت دندان

لمینت دندان چیست؟

لمینت دندان یک پوسته سرامیکی نازک است که به سطح جلویی دندان‌ها چسبانده می‌شود. این روش برای اصلاح مشکلاتی مانند تغییر رنگ، شکستگی‌های سطحی، فاصله بین دندان‌ها و نامرتبی‌های جزئی استفاده می‌شود. لمینت‌ها ظاهر دندان‌ها را زیباتر و طبیعی‌تر می‌کنند.

آیا لمینت دندان درد دارد؟

در اکثر موارد، نصب لمینت دندان درد ندارد. در طول فرآیند آماده‌سازی دندان‌ها برای نصب لمینت، ممکن است دندان‌پزشک از بی‌حسی موضعی استفاده کند. پس از نصب، بیشتر بیماران احساس راحتی دارند، اما در برخی موارد ممکن است کمی حساسیت به وجود آید که معمولاً پس از چند روز از بین می‌رود.

آیا لمینت دندان دائمی است؟

لمینت دندان به طور عمومی طول عمر بالایی دارد و می‌تواند تا ۱۰-۱۵ سال با مراقبت مناسب دوام بیاورد. اما چون برای نصب آن بخشی از مینای دندان تراشیده می‌شود، تغییرات دائمی به‌وجود می‌آید. برای حفظ طول عمر لمینت‌ها، رعایت بهداشت دهان و دندان بسیار مهم است.

آیا لمینت‌ها قابل برگشت هستند؟

خیر، نصب لمینت دندان یک تغییر دائمی است. در حین آماده‌سازی دندان‌ها برای نصب لمینت، بخشی از مینای دندان تراشیده می‌شود و به همین دلیل نمی‌توان این تغییر را به حالت اولیه بازگرداند.

آیا می‌توان به راحتی از لمینت دندان‌ها مراقبت کرد؟

بله، مراقبت از لمینت دندان بسیار آسان است. فقط کافیست به بهداشت دهان و دندان خود توجه داشته باشید، مسواک بزنید، از نخ دندان استفاده کنید و از خوردن مواد غذایی که ممکن است باعث لکه‌دار شدن دندان‌ها شوند، اجتناب کنید. همچنین باید از وارد آوردن فشار زیاد به دندان‌ها مانند جویدن اشیاء سخت یا دندان قروچه اجتناب کنید.

آیا لمینت دندان‌ها نیاز به ترمیم دارند؟

بله، در صورت آسیب به لمینت‌ها یا بروز مشکلاتی مانند ترک یا شکستگی، ممکن است نیاز به ترمیم یا تعویض باشد. با این حال، در صورت مراقبت مناسب، احتمال آسیب به لمینت‌ها کم است. در صورتی که آسیب دیده‌اند، بهتر است سریعاً به دندان‌پزشک مراجعه کنید.

دکتر زهرا جوان دندانپزشک متخصص در مشهد

دکتر زهرا جوان، دندانپزشک متخصص در مشهد، ارائه‌دهنده تمامی خدمات درمانی، زیبایی و دندانپزشکی اطفال است. با تجربه و تخصص در ارائه خدمات دندانپزشکی متنوع، دکتر زهرا جوان در اصلاح طرح لبخند، لمینت دندان و درمان‌های زیبایی دندان، انتخابی حرفه‌ای و مطمئن برای شماست.

© تمامی حقوق این سایت متعلق به دکتر زهرا جوان می باشد .

طراحی و توسعه حامی مارکتینگ