

بلیچینگ دندان، یک روش زیبایی دندانپزشکی است که با استفاده از مواد شیمیایی مانند پراکسید هیدروژن، رنگ دندان ها را

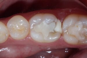
ترمیم دندان یکی از آشنا ترین نوع درمان دندان های پوسیده است که هر فردی در طول زندگی خود با

عصب کشی دندان یک پروسه دندانپزشکی است که طی آن مواد عفونی داخل ریشه دندان خارج شده و ریشه دندان

دندانپزشکی اطفال یک شاخه از دندانپزشکی است که به مراقبتهای دندانی و دهانی کودکانی از سنین نوزادی تا نوجوانی میپردازد

ایمپلنت دندان یک درمان پیشرفته برای کسانی که یک یا چند دندان خود را در اثر ضربه، پوسیدگی یا بیماری

جرمگیری دندان به انگلیسی معادل Teeth Scaling است. گاهی به این درمان دندانپزشکی، بروساژ دندان هم گفته میشود. این درمان